Когда нужно удалять зуб мудрости?

Полезные статьи в клинике "ЛОР+"
удаление зуба мудрости в стоматологической клинике
Зуб мудрости – это третий моляр, который появляется последним в зубном ряду взрослого человека. Он обычно прорезается в возрасте от 17 до 25 лет, хотя иногда этот процесс может начаться раньше или позже. Однако не всегда появление зуба мудрости проходит гладко. Иногда проще его удалить, так как зуб может стать причиной проблем, таких как воспаление десны, болевые ощущения и даже инфекции.
Основные ситуации, при которых рекомендуется удаление зуба мудрости:
1. Атипичное положение: если зуб мудрости растет под углом или направлен в сторону других зубов, это может привести к повреждению корней и развитию инфекций. В запущенных случаях придется удалять не только зуб мудрости, но и соседние зубы.
атипичное положение зуба мудрости
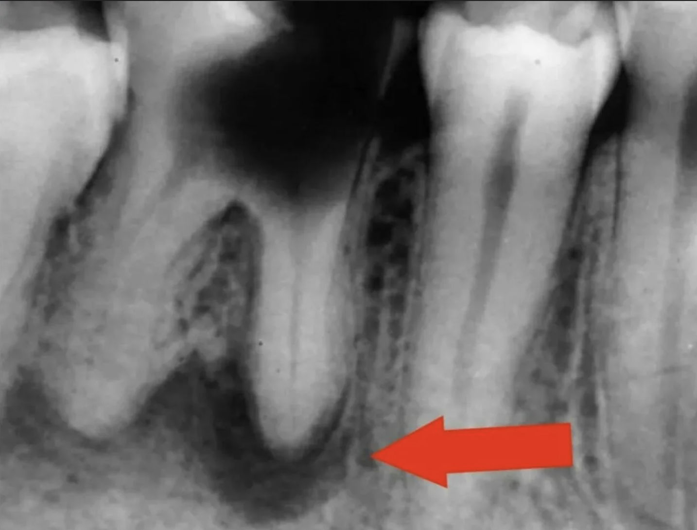
2. Кариес и разрушение: зуб мудрости часто труднодоступен для чистки. Поэтому во многих случаях именно этот моляр становится кариозным, быстрее разрушается. Если лечение невозможно, то удаление является оптимальным решением для любой стоматологической клиники.
3. Периодонтит: воспалительный процесс в области корня зуба, вызванный инфекцией. Лечение периодонтита может быть сложным и дорогостоящим, поэтому удаление зуба может быть лучшим вариантом.
передонтит зуба мудрости
4. Дистопия: Неправильное положение зуба, которое вызывает смещение других зубов в ряду. Это может привести к нарушению прикуса и болезненным ощущениям.
5. Ретенция зуба: Зуб остается полностью или частично скрытым под десной, что создает благоприятные условия для развития бактерий и инфекций.
6. Киста или опухоль: Образование кисты или опухоли вокруг зуба мудрости требует немедленного вмешательства, так как они могут повредить окружающие ткани и привести к серьезным осложнениям.
лечение кисты в стоматологии
Впрочем, неприятных последствий легко избежать, если вовремя записаться к стоматологу в нашей клинике (г. Арзамас). Врач оценит ситуацию и расскажет, необходимо ли в вашем случае удаление зуба мудрости.

О нашей клинике

Мы консультируем и лечим с заботой
ЛОР+ это многопрофильный медицинский центр для всей семьи в городе Арзамас. В нашей клинике вы сможете проконсультироваться по любой проблеме у опытных врачей г. Арзамаса, Н. Новгорода и Санкт-Петербурга. Ежемесячно 50-100 пациентов нашего центра прямо на приеме врача получают квоты на бесплатную хирургическую помощь нейрохирурга, травматолога, офтальмолога, онколога, кардиохирурга в лучших клиниках Петербурга.

Для вас мы приобрели современное и функциональное оборудование для диагностики, потому что точная постановка диагноза - это залог быстрого выздоровления. Ежедневно в клинике вы сможете сделать УЗИ, 3D компьютерную диагностику и эндоскопию ЛОР-органов, зубов и челюстей, а также сдать любые анализы.


>20 лет
Опыт ЛОР-врачей клиники
100 +
Врачей разных специализаций
> 6000
Операций в год делают врачи клиники
> 85%
Пациентов клиники возвращаются к нам
Знаем, как важно найти «своего» врача. Предварительно изучить специалистов и записаться на прием можно в разделе сайта «Врачи»

Отзывы пациентов

Made on
Tilda